
راز لبخند زیبای گریس کلی: روشهای اصلاح طرح لبخند و زیبایی دندان
راز لبخند زیبای گریس کلی: روشهای اصلاح طرح لبخند و زیبایی دندان
در سکوت یک لبخند، تاریخ ها نهفته اند. گاهی، یک لبخند، داستان یک زندگی را روایت می کند، داستانی از اعتماد به نفس، زیبایی و شکوه. تصور کنید، گریس کلی، شاهزادهای با لبخندی که قلبها را تسخیر میکرد. اما رمز این لبخند جادویی چه بود؟ فقط یک لبخند زیبا؟ یا چیزی فراتر از آن؟ سفری به دنیای زیباییشناسی دندان، جایی که علم و هنر در هم میآمیزند تا لبخندهایی بینقص خلق کنند.
مقدمه: لبخند، جادوی خاموش
لبخند، بیش از یک حرکت ساده عضلات صورت است. این زبان جهانی است که فراتر از کلمات عمل می کند، پیوندها را تقویت می کند و پیام های ناگفته را منتقل می نماید. یک لبخند زیبا نه تنها جذابیت ظاهری را افزایش می دهد، بلکه اعتماد به نفس و عزت نفس فرد را نیز به طور قابل توجهی بهبود می بخشد. در دنیای مدرن، جایی که تصویر اهمیت فزاینده ای پیدا کرده است، داشتن لبخندی سالم و زیبا یک مزیت محسوب می شود.
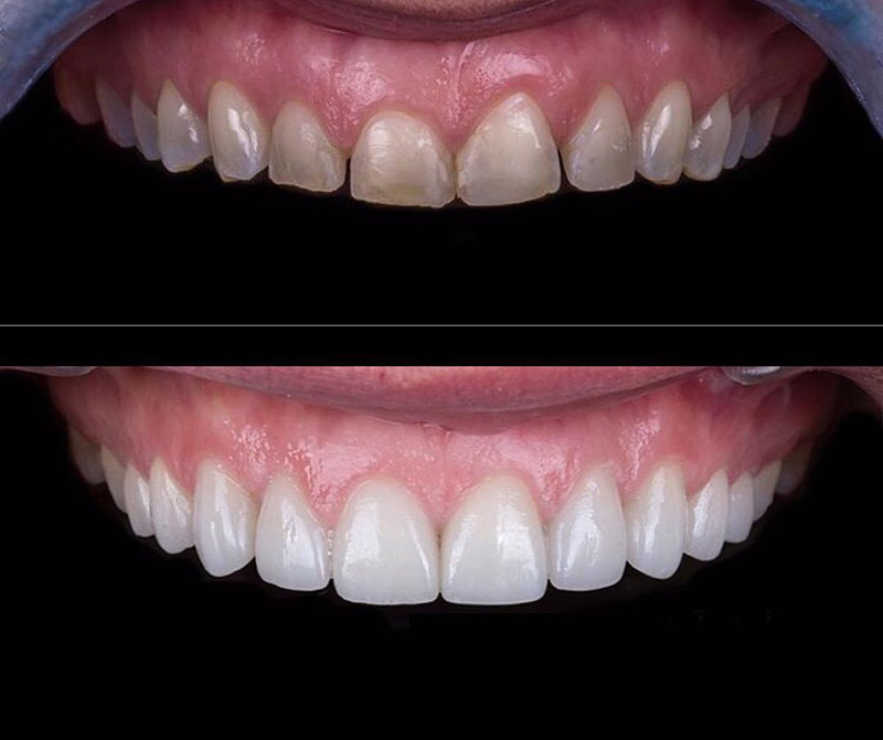
گریس کلی، بازیگر و شاهزاده خانم دوستداشتنی موناکو، یکی از نمادهای زیبایی و ظرافت در قرن بیستم بود. لبخند او، با درخشندگی و هماهنگی بینظیرش، همواره مورد تحسین بوده است. اگرچه ساختار طبیعی دندانهای گریس کلی زیبا بود، اما دندانپزشکی زیبایی مدرن میتواند با استفاده از روشهای متنوع، لبخندهای مشابه و حتی زیباتر را خلق کند. هدف ما در این مقاله، بررسی روشهای مختلف اصلاح طرح لبخند و زیبایی دندان است تا شما نیز بتوانید به لبخندی ایدهآل دست یابید.
طراحی لبخند: هنر و علم زیبایی دندان
طراحی لبخند (Smile Design) فرایندی است که در آن، دندانپزشک با در نظر گرفتن ویژگیهای صورت، رنگ پوست، فرم لبها و سایر عوامل، یک طرح درمانی شخصیسازیشده برای بهبود ظاهر لبخند شما ایجاد میکند. این فرایند ترکیبی از هنر و علم است، زیرا دندانپزشک باید دانش کافی در مورد اصول زیباییشناسی دندان، آناتومی صورت و مواد دندانی داشته باشد و در عین حال، خلاقیت هنری خود را نیز به کار گیرد.
در طراحی لبخند، هدف اصلی، ایجاد یک لبخند طبیعی و هماهنگ با سایر اجزای صورت است. دندانپزشک سعی می کند تا اندازه، شکل، رنگ، موقعیت و زوایای دندان ها را به گونه ای تنظیم کند که بهترین نتیجه زیبایی حاصل شود. علاوه بر این، سلامت دندان ها و لثه ها نیز در طراحی لبخند از اهمیت بالایی برخوردار است.
مراحل طراحی لبخند
- مشاوره و معاینه: در این مرحله، دندانپزشک با شما در مورد انتظارات و اهدافتان از طراحی لبخند صحبت می کند و معاینه دقیقی از دندان ها، لثه ها و ساختار صورت شما انجام می دهد.
- عکس برداری و اسکن: دندانپزشک از دندان ها و صورت شما عکس و اسکن تهیه می کند تا بتواند مدل سه بعدی لبخند شما را طراحی کند.
- طراحی دیجیتال لبخند: با استفاده از نرم افزارهای پیشرفته، دندانپزشک مدل دیجیتالی لبخند جدید شما را طراحی می کند و شما می توانید پیش نمایشی از نتیجه نهایی را مشاهده کنید.
- مرحله آزمایشی (Mock-up): دندانپزشک یک مدل موقت از لبخند جدید شما را روی دندان های شما قرار می دهد تا بتوانید آن را از نزدیک مشاهده کنید و در مورد آن تصمیم بگیرید.
- انجام درمان های لازم: پس از تایید طرح لبخند، دندانپزشک درمان های لازم را برای دستیابی به نتیجه مطلوب انجام می دهد. این درمان ها ممکن است شامل روکش دندان، لمینت دندان، ارتودنسی، بلیچینگ و یا جراحی لثه باشند.
روشهای اصلاح طرح لبخند و زیبایی دندان
روش های مختلفی برای اصلاح طرح لبخند و زیبایی دندان وجود دارد که دندانپزشک با توجه به شرایط و نیازهای هر فرد، بهترین روش را انتخاب می کند. در ادامه، به معرفی برخی از رایج ترین این روش ها می پردازیم:
1. بلیچینگ (سفید کردن دندان)
بلیچینگ یا سفید کردن دندان، روشی است که در آن، با استفاده از مواد شیمیایی خاص، رنگدانه های موجود در مینای دندان از بین می روند و دندان ها روشن تر می شوند. بلیچینگ می تواند در مطب دندانپزشکی و یا در منزل انجام شود. در بلیچینگ در مطب، دندانپزشک از مواد با غلظت بالاتر استفاده می کند و نتیجه در مدت زمان کوتاه تری حاصل می شود. در بلیچینگ در منزل، دندانپزشک یک قالب سفارشی برای دندان های شما تهیه می کند و شما با استفاده از مواد بلیچینگ با غلظت کمتر، به مدت چند هفته در منزل، دندان های خود را سفید می کنید.
ماندگاری بلیچینگ به عوامل مختلفی مانند رژیم غذایی، بهداشت دهان و دندان و نوع ماده بلیچینگ بستگی دارد. به طور کلی، بلیچینگ می تواند تا یک سال ماندگاری داشته باشد.
2. ونیر کامپوزیت (Composite Veneer)
ونیر کامپوزیت، لایه نازکی از مواد کامپوزیتی است که روی سطح دندان قرار می گیرد تا شکل، رنگ و اندازه آن را بهبود بخشد. ونیر کامپوزیت یک روش کم تهاجمی است، زیرا نیاز به تراشیدن مقدار کمی از مینای دندان دارد. این روش معمولاً در یک جلسه انجام می شود و هزینه آن نسبت به سایر روش های زیبایی دندان کمتر است.
ونیر کامپوزیت برای اصلاح مشکلاتی مانند دندان های شکسته، ترک خورده، تغییر رنگ داده، نامرتب و یا دارای فاصله بین دندانی مناسب است.
3. لمینت دندان (Laminate Veneer)
لمینت دندان، لایه نازکی از جنس سرامیک یا پرسلن است که روی سطح دندان چسبانده می شود. لمینت دندان نسبت به ونیر کامپوزیت، مقاوم تر و بادوام تر است و ظاهر طبیعی تری دارد. برای نصب لمینت دندان، نیاز به تراشیدن مقدار بیشتری از مینای دندان نسبت به ونیر کامپوزیت است.
لمینت دندان برای اصلاح مشکلاتی مانند دندان های شکسته، ترک خورده، تغییر رنگ داده، نامرتب، دارای فاصله بین دندانی و یا بد شکل مناسب است. ماندگاری لمینت دندان معمولاً بین 10 تا 15 سال است.
4. روکش دندان (Dental Crown)
روکش دندان، یک پوشش کامل است که روی دندان قرار می گیرد تا شکل، اندازه، استحکام و ظاهر آن را بهبود بخشد. روکش دندان معمولاً زمانی استفاده می شود که دندان به شدت آسیب دیده باشد و یا نیاز به تقویت داشته باشد. برای نصب روکش دندان، نیاز به تراشیدن مقدار زیادی از مینای دندان است.
روکش دندان می تواند از جنس فلز، سرامیک، پرسلن و یا ترکیبی از این مواد باشد. روکش های سرامیکی و پرسلنی ظاهر طبیعی تری دارند و برای دندان های جلویی بیشتر استفاده می شوند.
5. ارتودنسی (Orthodontics)
ارتودنسی، شاخه ای از دندانپزشکی است که به اصلاح موقعیت دندان ها و فک ها می پردازد. ارتودنسی می تواند با استفاده از دستگاه های ثابت (براکت) و یا متحرک (پلاک) انجام شود. ارتودنسی برای اصلاح مشکلاتی مانند دندان های نامرتب، دندان های بیرون زده، دندان های نهفته، اوربایت، آندربایت و یا کراس بایت مناسب است.
مدت زمان درمان ارتودنسی معمولاً بین 1 تا 3 سال است. پس از اتمام درمان ارتودنسی، بیمار باید از نگهدارنده (Retainer) استفاده کند تا دندان ها در موقعیت جدید خود ثابت بمانند.
6. جراحی لثه (Gum Surgery)
جراحی لثه، به مجموعه ای از روش های جراحی گفته می شود که برای اصلاح مشکلات لثه انجام می شوند. جراحی لثه می تواند شامل افزایش طول تاج دندان، پیوند لثه، و یا برداشتن بافت اضافی لثه باشد.
افزایش طول تاج دندان، برای نمایان کردن بیشتر دندان هایی که زیر لثه پنهان شده اند، انجام می شود. پیوند لثه، برای پوشاندن ریشه دندان هایی که به دلیل تحلیل لثه نمایان شده اند، انجام می شود. برداشتن بافت اضافی لثه، برای اصلاح لبخند لثه ای (Gummy Smile) انجام می شود.
عوامل موثر در زیبایی لبخند
زیبایی لبخند، تنها به دندان های سالم و سفید محدود نمی شود. عوامل مختلفی در زیبایی لبخند نقش دارند که در ادامه به برخی از مهم ترین آنها اشاره می کنیم:
- تناسب دندان ها: اندازه، شکل و موقعیت دندان ها باید با یکدیگر و با سایر اجزای صورت هماهنگ باشد.
- رنگ دندان ها: رنگ دندان ها باید طبیعی و متناسب با رنگ پوست باشد.
- سلامت لثه ها: لثه ها باید سالم، صورتی رنگ و بدون التهاب باشند.
- فرم لب ها: فرم لب ها باید متناسب با دندان ها باشد و هنگام لبخند زدن، دندان ها را به طور کامل نشان دهد.
- خط لبخند: خط لبخند، خطی فرضی است که از لبه پایینی لب بالایی به لبه برنده دندان های جلویی می رسد. خط لبخند ایده آل، کمی بالاتر از لبه برنده دندان ها قرار دارد.
- نسبت طلایی: نسبت طلایی (Golden Ratio) یک نسبت ریاضی است که در طبیعت و هنر به وفور یافت می شود. رعایت نسبت طلایی در طراحی لبخند، باعث ایجاد یک لبخند زیبا و هماهنگ می شود.
انتخاب دندانپزشک مناسب
انتخاب دندانپزشک مناسب، یکی از مهم ترین عوامل در دستیابی به یک لبخند زیبا و سالم است. یک دندانپزشک زیبایی خوب، باید دارای دانش و تجربه کافی در زمینه زیباییشناسی دندان باشد و بتواند با در نظر گرفتن شرایط و نیازهای شما، بهترین روش درمانی را انتخاب کند.
هنگام انتخاب دندانپزشک زیبایی، به موارد زیر توجه کنید:
- تخصص و تجربه: دندانپزشک باید دارای تخصص و تجربه کافی در زمینه دندانپزشکی زیبایی باشد.
- نمونه کارها: نمونه کارهای دندانپزشک را بررسی کنید تا از کیفیت کار او مطمئن شوید.
- تجهیزات و مواد: دندانپزشک باید از تجهیزات و مواد با کیفیت استفاده کند.
- ارتباط: دندانپزشک باید بتواند به خوبی با شما ارتباط برقرار کند و به سوالات شما پاسخ دهد.
- هزینه: هزینه درمان را با سایر دندانپزشکان مقایسه کنید.
نکات مهم برای حفظ سلامت و زیبایی دندان
حفظ سلامت و زیبایی دندان ها، نیازمند رعایت نکات بهداشتی و مراقبتی است. در ادامه، به برخی از مهم ترین این نکات اشاره می کنیم:
- مسواک زدن: دندان های خود را حداقل دو بار در روز، به مدت دو دقیقه مسواک بزنید.
- استفاده از نخ دندان: روزانه یک بار از نخ دندان برای تمیز کردن بین دندان ها استفاده کنید.
- استفاده از دهان شویه: از دهان شویه ضد عفونی کننده برای از بین بردن باکتری ها و جلوگیری از پوسیدگی دندان استفاده کنید.
- مراجعه منظم به دندانپزشک: هر 6 ماه یک بار برای معاینه و تمیز کردن دندان ها به دندانپزشک مراجعه کنید.
- رژیم غذایی سالم: از مصرف غذاها و نوشیدنی های شیرین و اسیدی خودداری کنید.
- ترک سیگار: سیگار کشیدن باعث زرد شدن دندان ها و بروز مشکلات لثه می شود.
نتیجه گیری: کلید لبخند گریس کلی در دستان شماست
لبخند گریس کلی، نمادی از زیبایی، اعتماد به نفس و ظرافت بود. امروزه، با پیشرفت های چشمگیر در زمینه دندانپزشکی زیبایی، دستیابی به لبخندی مشابه و حتی زیباتر، برای همه افراد امکان پذیر است. با انتخاب دندانپزشک مناسب، رعایت نکات بهداشتی و مراقبتی و استفاده از روش های اصلاح طرح لبخند، می توانید لبخندی داشته باشید که نه تنها زیبا باشد، بلکه سلامت و اعتماد به نفس شما را نیز افزایش دهد. راز لبخند زیبای گریس کلی، اکنون در دستان شماست.
© 2024 تمامی حقوق محفوظ است.
خلاصه آدرس آدرس مطلب
مقاله با تعریف طرح لبخند و اهمیت زیبایی آن در اعتماد به نفس و روابط اجتماعی آغاز میشود. سپس به بررسی عوامل مختلفی که میتوانند بر زیبایی لبخند تاثیر بگذارند، میپردازد. این عوامل شامل موارد زیر میشوند:
* **رنگ دندانها:** لکهها، تغییر رنگ و زردی دندانها میتواند از جذابیت لبخند بکاهد.
* **اندازه و شکل دندانها:** دندانهای نامتناسب، کوتاه، بلند، یا دارای لبههای ناصاف میتوانند ظاهر لبخند را تحت تاثیر قرار دهند.
* **فاصلهی بین دندانها:** وجود فاصلههای زیاد بین دندانها، به خصوص در دندانهای جلویی، میتواند از زیبایی لبخند بکاهد.
* **نامرتبی دندانها:** دندانهای کج، چرخیده یا نهفته میتوانند تاثیر منفی بر طرح لبخند داشته باشند.
* **لثه:** مقدار لثهی نمایان شده هنگام لبخند زدن (لبخند لثهای) و یا نامتناسب بودن خط لثه نیز در زیبایی لبخند نقش دارند.
* **خط لبخند:** انحنای خط لبخند و تقارن آن با صورت نیز از عوامل مهم در زیبایی لبخند محسوب میشود.
در ادامهی مقاله، دکتر مرشد به معرفی روشهای مختلف اصلاح طرح لبخند میپردازد و هر کدام را به تفصیل شرح میدهد. این روشها عبارتند از:
* **بلیچینگ دندان:** برای سفید کردن و از بین بردن لکههای روی دندانها. این روش به دو صورت بلیچینگ در مطب و بلیچینگ در منزل انجام میشود.
* **کامپوزیت ونیر:** استفاده از مواد کامپوزیتی همرنگ دندان برای پوشاندن عیوب کوچک دندانها مانند شکستگی، ترک خوردگی، و فاصلههای جزئی بین دندانها. این روش یک روش نسبتاً سریع و کمهزینه است.
* **لامینیت دندان (ونیر پرسلن):** استفاده از پوستههای نازک سرامیکی که به سطح دندانها چسبانده میشوند. لامینیتها بسیار مقاوم، با دوام و طبیعی به نظر میرسند و برای اصلاح طیف وسیعی از مشکلات دندانی مانند تغییر رنگ شدید، شکستگی، فاصلههای زیاد و نامرتبی جزئی دندانها مناسب هستند.
* **ارتودنسی:** برای اصلاح نامرتبی دندانها و فک. ارتودنسی میتواند با استفاده از براکتهای فلزی سنتی، براکتهای سرامیکی، الاینرهای شفاف و یا ارتودنسی لینگوال (براکتهای پشت دندانی) انجام شود.
* **جراحی لثه:** برای اصلاح لبخند لثهای و یا تغییر شکل خط لثه.
* **ایمپلنت دندان:** برای جایگزینی دندانهای از دست رفته.
* **روکش دندان:** برای پوشاندن دندانهای آسیبدیده، شکسته و یا با شکل نامناسب.
دکتر مرشد در ادامه، به مراحل انجام اصلاح طرح لبخند اشاره میکند. این مراحل معمولاً شامل موارد زیر است:
1. **مشاوره اولیه:** در این مرحله، دندانپزشک با بیمار صحبت میکند، وضعیت دندانها و لثهها را بررسی میکند و اهداف بیمار از اصلاح طرح لبخند را جویا میشود.
2. **بررسیهای تشخیصی:** انجام رادیوگرافی و عکسهای مختلف از دندانها و صورت برای ارزیابی دقیق وضعیت.
3. **طراحی طرح لبخند:** با استفاده از نرمافزارهای کامپیوتری و یا روشهای سنتی، طرح لبخند جدید طراحی میشود و به بیمار نشان داده میشود.
4. **انجام درمان:** انجام روشهای درمانی مورد نیاز بر اساس طرح لبخند.
5. **نگهداری:** رعایت بهداشت دهان و دندان و مراجعه منظم به دندانپزشک برای حفظ زیبایی و سلامت دندانها.
در پایان مقاله، دکتر مرشد بر اهمیت انتخاب دندانپزشک متخصص و با تجربه برای اصلاح طرح لبخند تاکید میکند. همچنین، به این نکته اشاره میکند که هزینه اصلاح طرح لبخند به عوامل مختلفی مانند روشهای درمانی مورد استفاده و تجربه دندانپزشک بستگی دارد.
خلاصه آدرس آدرس مطلب
خلاصه آدرس آدرس مطلب
لینک ارائه شده توسط دکتر علیرضا خدیوی، متخصص دندانپزشکی زیبایی، به تشریح جنبههای مختلف طراحی لبخند و روشهای درمانی مرتبط با آن میپردازد. در این مقاله تاکید شده است که یک لبخند زیبا و جذاب، نقش مهمی در اعتماد به نفس و تعاملات اجتماعی افراد دارد. به همین دلیل، طراحی لبخند نه تنها یک درمان زیبایی، بلکه یک اقدام برای بهبود کیفیت زندگی نیز محسوب میشود.
**مراحل و اصول طراحی لبخند:**
دکتر خدیوی در مقاله خود، مراحل و اصول طراحی لبخند را به تفصیل شرح میدهد:
* **مشاوره و ارزیابی:** اولین قدم در طراحی لبخند، مشاوره با دندانپزشک متخصص است. در این مرحله، دندانپزشک به بررسی دقیق دندانها، لثهها و ساختار فک میپردازد. همچنین، در مورد انتظارات و اهداف بیمار از درمان سوالاتی مطرح میشود. تصاویر رادیوگرافی و عکسهای دندانها و صورت نیز برای ارزیابی دقیقتر وضعیت استفاده میشوند.
* **برنامهریزی درمان:** پس از ارزیابی، دندانپزشک با توجه به نیازها و اهداف بیمار، یک برنامه درمانی شخصیسازی شده طراحی میکند. این برنامه شامل روشهای درمانی مورد نیاز، هزینهها و مدت زمان تقریبی درمان خواهد بود.
* **اجرای درمان:** در این مرحله، درمانهای دندانپزشکی زیبایی بر اساس برنامه طراحی شده اجرا میشوند. این درمانها میتوانند شامل موارد زیر باشند:
* **بلیچینگ (سفید کردن دندانها):** برای رفع لکهها و تغییر رنگ دندانها.
* **اصلاح لثه (جراحی لثه):** برای اصلاح خط لثه و ایجاد تناسب بیشتر بین دندانها و لثهها.
* **ونیر (لامینت):** پوششهای نازک سرامیکی که بر روی سطح دندانها قرار میگیرند تا شکل، اندازه و رنگ آنها را بهبود بخشند.
* **روکش دندان:** برای ترمیم دندانهای آسیب دیده یا تغییر شکل دندانهایی که به ونیرها پاسخ نمیدهند.
* **ارتودنسی:** برای اصلاح نامرتبی دندانها و بهبود موقعیت آنها در فک.
* **ایمپلنت دندان:** برای جایگزینی دندانهای از دست رفته.
* **نگهداری:** پس از اتمام درمان، رعایت بهداشت دهان و دندان و مراجعه منظم به دندانپزشک برای معاینه و جرمگیری ضروری است تا نتایج درمان حفظ شوند.
**روشهای درمانی رایج در طراحی لبخند:**
مقاله دکتر خدیوی به تفصیل به روشهای درمانی رایج در طراحی لبخند میپردازد. هر یک از این روشها مزایا و معایب خاص خود را دارند و انتخاب روش مناسب به شرایط و نیازهای بیمار بستگی دارد.
* **ونیرهای کامپوزیتی:** ونیرهای کامپوزیتی با استفاده از مواد همرنگ دندان مستقیماً بر روی سطح دندانها قرار میگیرند. این روش نسبت به ونیرهای سرامیکی ارزانتر و سریعتر است، اما دوام کمتری دارد و ممکن است در طول زمان تغییر رنگ دهد.
* **ونیرهای سرامیکی (لامینت):** ونیرهای سرامیکی در لابراتور ساخته میشوند و پس از آن بر روی سطح دندانها چسبانده میشوند. این روش زیبایی و دوام بیشتری نسبت به ونیرهای کامپوزیتی دارد، اما هزینه آن بیشتر است.
* **بلیچینگ (سفید کردن دندانها):** بلیچینگ یک روش غیرتهاجمی برای روشن کردن رنگ دندانها است. این روش میتواند با استفاده از مواد بلیچینگ در مطب دندانپزشکی یا در خانه انجام شود.
* **ارتودنسی:** ارتودنسی یک روش درمانی است که برای اصلاح نامرتبی دندانها و فک استفاده میشود. این روش میتواند با استفاده از براکتهای فلزی یا پلاکهای شفاف (اینویزیلاین) انجام شود.
* **ایمپلنت دندان:** ایمپلنت دندان یک روش جراحی است که در آن یک پایه تیتانیومی در استخوان فک قرار داده میشود و سپس یک روکش دندان بر روی آن نصب میشود. ایمپلنت دندان یک راه حل دائمی و مطمئن برای جایگزینی دندانهای از دست رفته است.
**اهمیت انتخاب دندانپزشک متخصص:**
دکتر خدیوی بر اهمیت انتخاب یک دندانپزشک متخصص و با تجربه در زمینه طراحی لبخند تاکید میکند. یک دندانپزشک متخصص با دانش و مهارت کافی، میتواند بهترین برنامه درمانی را برای هر بیمار طراحی کرده و نتایج مطلوب را به دست آورد. همچنین، دندانپزشک متخصص باید از آخرین تکنولوژیها و روشهای درمانی در زمینه طراحی لبخند آگاهی داشته باشد.
به طور خلاصه، طراحی لبخند یک فرآیند جامع و شخصیسازی شده است که با هدف بهبود زیبایی و تناسب دندانها و لثهها انجام میشود. انتخاب روش درمانی مناسب به شرایط و نیازهای بیمار بستگی دارد و انتخاب یک دندانپزشک متخصص و با تجربه در این زمینه از اهمیت بالایی برخوردار است.
خلاصه آدرس آدرس مطلب
این مقاله به بررسی روشهای مختلف اصلاح طرح لبخند میپردازد و تاکید میکند که یک لبخند زیبا و جذاب میتواند تاثیر قابل توجهی در اعتماد به نفس و روابط اجتماعی فرد داشته باشد. طرح لبخند ایدهآل، لبخندی است که تناسب و هماهنگی بین دندانها، لثهها و لبها وجود داشته باشد.
**دلایل نیاز به اصلاح طرح لبخند:**
مقاله به دلایل مختلفی اشاره میکند که افراد را ترغیب به اصلاح طرح لبخند میکند، از جمله:
* **نامرتبی دندانها:** دندانهای کج، نامنظم و یا دارای فاصله میتوانند زیبایی لبخند را تحت تاثیر قرار دهند.
* **تغییر رنگ دندانها:** لکهها، تغییر رنگ و یا تیرگی دندانها میتواند از جذابیت لبخند بکاهد.
* **شکستگی یا لب پریدگی دندانها:** آسیب دیدگی دندانها میتواند ظاهر آنها را تغییر داده و لبخند را ناخوشایند سازد.
* **مشکلات لثه:** وجود لثههای نامتقارن، التهاب لثه و یا نمایش بیش از حد لثه (لبخند لثهای) میتواند بر زیبایی لبخند اثر منفی بگذارد.
* **فرسودگی دندانها:** سایش و فرسودگی دندانها در اثر افزایش سن یا عوامل دیگر میتواند ظاهر آنها را تغییر دهد.
**روشهای اصلاح طرح لبخند:**
در این مقاله، روشهای مختلفی برای اصلاح طرح لبخند معرفی شده است که هر کدام بسته به نیاز و شرایط فرد، کاربرد دارند:
* **ارتودنسی:** برای اصلاح نامرتبی دندانها و تنظیم موقعیت آنها استفاده میشود. ارتودنسی میتواند با استفاده از براکتهای فلزی، سرامیکی و یا الاینرهای شفاف انجام شود.
* **کامپوزیت ونیر:** یک روش ترمیم زیبایی است که با استفاده از مواد همرنگ دندان، شکل، اندازه و رنگ دندانها را بهبود میبخشد. این روش نسبتاً سریع و مقرون به صرفه است.
* **لمینت دندان:** لایههای نازکی از جنس سرامیک هستند که بر روی سطح دندانها چسبانده میشوند. لمینتها مقاومت و ماندگاری بالایی دارند و میتوانند برای اصلاح عیوب مختلف دندانی از جمله تغییر رنگ، شکستگی و نامرتبیهای جزئی استفاده شوند.
* **بلیچینگ دندان:** برای سفید کردن دندانها و از بین بردن لکهها و تغییر رنگها به کار میرود. این روش میتواند در مطب دندانپزشکی یا در خانه با استفاده از کیتهای مخصوص انجام شود.
* **جراحی لثه:** برای اصلاح مشکلات لثه مانند نمایش بیش از حد لثه (لبخند لثهای) و یا بهبود تقارن لثهها انجام میشود.
* **ایمپلنت دندان:** برای جایگزینی دندانهای از دست رفته استفاده میشود. ایمپلنتها میتوانند زیبایی و عملکرد دندانها را به طور کامل بازگردانند.
* **روکش دندان:** برای پوشاندن دندانهای آسیب دیده، شکسته و یا تغییر رنگ یافته استفاده میشود. روکشها میتوانند از جنس سرامیک، فلز و یا ترکیبی از این دو باشند.
**انتخاب روش مناسب:**
مقاله تاکید میکند که انتخاب روش مناسب برای اصلاح طرح لبخند، به بررسی دقیق وضعیت دندانها و لثهها توسط دندانپزشک و همچنین در نظر گرفتن انتظارات و بودجه فرد بستگی دارد. دندانپزشک با توجه به شرایط بیمار، بهترین روش یا ترکیبی از روشها را برای achieving یک لبخند زیبا و طبیعی پیشنهاد میدهد.
در نهایت، مقاله بر اهمیت مراقبتهای بهداشتی دهان و دندان پس از اصلاح طرح لبخند تاکید میکند تا نتایج به دست آمده حفظ شوند و لبخند زیبا و سالم برای مدت طولانی دوام داشته باشد.
خلاصه آدرس آدرس مطلب
مقاله “انواع روشهای اصلاح طرح لبخند” به بررسی جامع و تفصیلی روشهای مختلف بهبود و زیباسازی طرح لبخند میپردازد. نویسنده، دکتر منانوروزی، با تاکید بر اهمیت لبخند زیبا در جذابیت و اعتماد به نفس افراد، به تشریح تکنیکهای گوناگونی که در دندانپزشکی زیبایی برای دستیابی به این هدف مورد استفاده قرار میگیرند، میپردازد.
مقدمه مقاله به بررسی اهمیت زیبایی لبخند و تاثیر آن بر جنبههای مختلف زندگی فردی و اجتماعی اختصاص دارد. طرح لبخند ایدهآل، ترکیبی از عوامل مختلف مانند شکل، اندازه و رنگ دندانها، موقعیت لثهها، و تناسب بین دندانها و لبها است. هرگونه نقص در این عوامل میتواند باعث ایجاد احساس نارضایتی در فرد شده و بر اعتماد به نفس او تاثیر منفی بگذارد.
در ادامه، مقاله به معرفی روشهای اصلی اصلاح طرح لبخند میپردازد:
* **بلیچینگ (سفید کردن دندانها):** این روش برای از بین بردن لکهها و تغییر رنگ دندانها به کار میرود. مقاله انواع روشهای بلیچینگ، از جمله بلیچینگ در مطب و بلیچینگ در منزل، را به تفصیل شرح میدهد و مزایا و معایب هر روش را مورد بررسی قرار میدهد.
* **ونیر کامپوزیتی:** این روش شامل استفاده از مواد کامپوزیتی برای پوشاندن سطح دندانها و اصلاح شکل، اندازه و رنگ آنها است. ونیر کامپوزیتی یک روش نسبتاً سریع و کمهزینه است که میتواند نتایج قابلتوجهی در بهبود طرح لبخند ایجاد کند.
* **لامینت دندان (ونیر پرسلن):** لامینتها پوستههای نازکی از جنس پرسلن هستند که به سطح جلویی دندانها چسبانده میشوند. این روش برای اصلاح مشکلات مختلفی مانند دندانهای شکسته، ترک خورده، تغییر رنگ داده یا دارای فاصله، مناسب است. لامینتها نسبت به ونیرهای کامپوزیتی مقاومتر و بادوامتر هستند و ظاهر طبیعیتری دارند.
* **روکش دندان:** روکشها پوششهای کاملی هستند که بر روی کل دندان قرار میگیرند. این روش برای دندانهایی که به شدت آسیب دیدهاند یا ساختار زیادی از خود را از دست دادهاند، مناسب است. روکشها میتوانند از جنسهای مختلفی مانند پرسلن، زیرکونیا یا فلز-سرامیک ساخته شوند.
* **ارتودنسی:** روشهای ارتودنسی، مانند استفاده از براکتها یا الاینرها (اینویزیلاین)، برای مرتب کردن دندانها و اصلاح موقعیت آنها در فک مورد استفاده قرار میگیرند. ارتودنسی میتواند مشکلات مربوط به نامرتبی دندانها، شلوغی دندانها، دیاستم (فاصله بین دندانها) و مالاوکلوژن (عدم تطابق فک بالا و پایین) را برطرف کند.
* **جراحی لثه:** در برخی موارد، برای اصلاح طرح لبخند، نیاز به جراحی لثه وجود دارد. این جراحی میتواند برای اصلاح خط لثه نامنظم، افزایش طول تاج دندانها (مثلاً در مواردی که دندانها کوتاه به نظر میرسند) یا برداشتن بافت لثه اضافی انجام شود.
در نهایت، نویسنده بر اهمیت مشاوره با یک دندانپزشک متخصص و باتجربه در زمینه دندانپزشکی زیبایی تاکید میکند. انتخاب روش مناسب برای اصلاح طرح لبخند، بستگی به شرایط فردی، میزان مشکلات دندانی، انتظارات بیمار و بودجه در نظر گرفته شده دارد. یک دندانپزشک متخصص میتواند با بررسی دقیق وضعیت دندانها و لثهها، بهترین روش یا ترکیبی از روشها را برای دستیابی به یک لبخند زیبا و ماندگار پیشنهاد دهد.
خلاصه آدرس آدرس مطلب
این مقاله از وبسایت دکتر محمد کریمی به موضوع “اصلاح طرح لبخند” میپردازد و ضمن معرفی این فرایند، دربارهی جنبههای مختلف آن از جمله انواع روشها، نیازها، مزایا و معایب احتمالی بحث میکند. نویسنده در ابتدا، به اهمیت لبخند و نقش آن در زیبایی و اعتماد به نفس افراد اشاره میکند و بیان میدارد که اصلاح طرح لبخند میتواند به طور چشمگیری در بهبود ظاهر و کیفیت زندگی افراد موثر باشد.
در ادامه، مقاله به تعریف دقیقتری از “اصلاح طرح لبخند” میپردازد و آن را مجموعهای از روشهای دندانپزشکی زیبایی میداند که هدف از آنها، ایجاد یک لبخند زیباتر، متناسبتر و هماهنگتر با سایر اجزای صورت است. نویسنده تاکید میکند که این فرایند صرفاً محدود به سفید کردن دندانها نیست و شامل طیف وسیعی از روشهای مختلف میشود که بسته به شرایط و نیازهای هر فرد، انتخاب و اجرا میشوند.
مقاله سپس به بررسی انواع روشهای اصلاح طرح لبخند میپردازد. از جمله این روشها میتوان به موارد زیر اشاره کرد:
* **سفید کردن دندانها (Bleaching):** این روش با استفاده از مواد خاص، رنگدانههای موجود در مینای دندان را از بین میبرد و باعث روشنتر شدن رنگ دندانها میشود.
* **لامینیت دندان (Laminate Veneers):** لامینیتها، پوستههای نازک سرامیکی هستند که روی سطح جلویی دندانها چسبانده میشوند و میتوانند برای اصلاح رنگ، شکل، اندازه و موقعیت دندانها استفاده شوند.
* **کامپوزیت ونیر (Composite Veneers):** کامپوزیت ونیرها شبیه لامینیتها هستند، اما از جنس مواد کامپوزیتی ساخته میشوند. این روش معمولاً ارزانتر از لامینیتها است، اما ممکن است دوام کمتری داشته باشد.
* **روکش دندان (Dental Crowns):** روکشها، پوششهای کاملی هستند که روی دندان قرار میگیرند و میتوانند برای ترمیم دندانهای آسیبدیده، اصلاح شکل و رنگ دندانها و یا محافظت از دندانهای ضعیف استفاده شوند.
* **ارتودنسی (Orthodontics):** ارتودنسی، روشی است که برای صاف کردن دندانهای نامرتب و اصلاح موقعیت فکها استفاده میشود. این روش میتواند با استفاده از براکتها، الاینرها و سایر ابزارها انجام شود.
* **جراحی لثه (Gum Contouring):** جراحی لثه برای اصلاح شکل و موقعیت لثه استفاده میشود. این روش میتواند برای اصلاح “لبخند لثهای” (Gummy Smile) و یا ایجاد تناسب بیشتر بین دندانها و لثه استفاده شود.
* **ایمپلنت دندان (Dental Implants):** ایمپلنتها، جایگزینی دائمی برای دندانهای از دست رفته هستند. این روش میتواند برای پر کردن فضاهای خالی بین دندانها و یا جایگزینی دندانهای آسیبدیده استفاده شود.
نویسنده تاکید میکند که انتخاب روش مناسب برای اصلاح طرح لبخند، بستگی به عوامل مختلفی از جمله سلامت دندانها و لثه، میزان تغییرات مورد نظر و بودجه فرد دارد. بنابراین، مشورت با یک دندانپزشک باتجربه و متخصص در زمینه دندانپزشکی زیبایی، ضروری است.
در بخشهای پایانی مقاله، به برخی از مزایا و معایب احتمالی اصلاح طرح لبخند اشاره شده است. از جمله مزایا میتوان به افزایش اعتماد به نفس، بهبود ظاهر و زیبایی، بهبود روابط اجتماعی و افزایش کیفیت زندگی اشاره کرد. از جمله معایب احتمالی میتوان به هزینه بالا، زمانبر بودن فرایند و احتمال بروز عوارض جانبی موقت اشاره کرد.
در پایان، مقاله توصیه میکند که قبل از اقدام به اصلاح طرح لبخند، اطلاعات کافی در مورد روشهای مختلف، مزایا و معایب احتمالی آنها کسب کرده و با یک دندانپزشک مشورت کنید تا بتوانید بهترین تصمیم را برای بهبود لبخند خود بگیرید.
خلاصه آدرس آدرس مطلب
مهمترین اهداف طراحی لبخند عبارتند از:
* **بهبود زیبایی:** افزایش جذابیت لبخند با رفع عیوب ظاهری دندانها و لثهها.
* **افزایش اعتماد به نفس:** بهبود ظاهر لبخند میتواند به طور قابل توجهی اعتماد به نفس فرد را افزایش دهد.
* **بهبود عملکرد:** در برخی موارد، طراحی لبخند میتواند عملکرد دندانها را نیز بهبود بخشد (مانند اصلاح بایت نامناسب).
روشهای مورد استفاده در طراحی لبخند:
* **بلیچینگ (سفید کردن دندانها):** برای از بین بردن لکهها و روشن کردن رنگ دندانها.
* **ونیرها:** لایههای نازک سرامیکی یا کامپوزیتی که روی سطح دندان چسبانده میشوند تا شکل، رنگ و اندازه دندانها را تغییر دهند.
* **روکشها:** پوشش کاملی برای دندان که برای ترمیم دندانهای آسیبدیده یا تغییر شکل دندانها استفاده میشود.
* **ایمپلنتهای دندان:** برای جایگزینی دندانهای از دست رفته.
* **ارتودنسی:** برای اصلاح موقعیت دندانها و فکها و ایجاد یک بایت مناسب.
* **جراحی لثه:** برای اصلاح خط لثه و ایجاد تناسب بین دندانها و لثهها.
* **کانتور لثه:** با استفاده از لیزر برای رفع ناهمواری های لثه و ایجاد یک لبخند جذاب تر.
فرایند طراحی لبخند معمولاً شامل مراحل زیر است:
1. **مشاوره و ارزیابی:** دندانپزشک با بیمار در مورد انتظارات و اهداف او از درمان صحبت میکند و معاینه کاملی از دندانها، لثهها و صورت انجام میدهد. این معاینه شامل گرفتن عکس، رادیوگرافی و قالبگیری از دندانها میشود.
2. **برنامهریزی درمان:** بر اساس نتایج ارزیابی، دندانپزشک یک طرح درمانی شخصیسازی شده برای بیمار ایجاد میکند. این طرح شامل روشهای مورد استفاده، هزینه و زمان مورد نیاز برای درمان است.
3. **اجرای درمان:** دندانپزشک با استفاده از روشهای مختلف دندانپزشکی زیبایی، به تدریج طرح درمانی را اجرا میکند.
4. **نگهداری:** پس از اتمام درمان، بیمار باید به طور منظم به دندانپزشک مراجعه کند و بهداشت دهان و دندان خود را به خوبی رعایت کند تا نتایج درمان حفظ شود.
عواملی که بر هزینه طراحی لبخند تاثیر میگذارند:
* **پیچیدگی درمان:** تعداد و نوع روشهای مورد استفاده در درمان.
* **مواد مورد استفاده:** کیفیت مواد استفاده شده در ونیرها، روکشها و سایر درمانها.
* **تجربه دندانپزشک:** دستمزد دندانپزشکان با تجربه و متخصص بیشتر است.
* **موقعیت جغرافیایی:** هزینه درمان در مناطق مختلف متفاوت است.
به طور کلی، طراحی لبخند یک روش درمانی موثر برای بهبود ظاهر لبخند و افزایش اعتماد به نفس است. با این حال، مهم است که با یک دندانپزشک مجرب و متخصص مشورت کنید تا بهترین روش درمانی را برای شما انتخاب کند.
خلاصه آدرس آدرس مطلب
این مقاله به طور جامع به موضوع اصلاح طرح لبخند (Smile Design) میپردازد و هدف آن ارائه اطلاعات کامل و کاربردی به افرادی است که به دنبال بهبود زیبایی لبخند خود هستند. در ابتدای مقاله تعریف دقیقی از طرح لبخند ارائه شده است: فرآیندی که در آن دندانپزشک با در نظر گرفتن ویژگیهای صورت، لثه، لبها و دندانهای بیمار، طرحی ایدهآل برای لبخند او ایجاد میکند. تاکید میشود که اصلاح طرح لبخند صرفاً یک عمل زیبایی نیست، بلکه باید با در نظر گرفتن سلامت و عملکرد دندانها انجام شود.
دلایل متعددی برای انجام اصلاح طرح لبخند ذکر شده است، از جمله: دندانهای شکسته، ترک خورده، تغییر رنگ داده، نامرتب، با فاصله، لثههای نامتناسب، و یا لبخندی که به طور کلی فرد را ناراضی میکند. مقاله به این نکته مهم اشاره میکند که قبل از هر اقدامی، باید مشکلات اساسی دندانها و لثهها مانند پوسیدگی و بیماریهای لثه درمان شوند.
روشهای مختلفی برای اصلاح طرح لبخند معرفی شده است:
* **ونیرها (Veneers):** لایههای نازکی از جنس سرامیک یا کامپوزیت که روی سطح دندانها چسبانده میشوند و میتوانند شکل، رنگ و اندازه دندانها را بهبود بخشند. توضیحی در مورد مزایا و معایب هر دو نوع ونیر ارائه شده است.
* **لمینت دندان:** نوعی ونیر سرامیکی بسیار نازک است که به دلیل ضخامت کم، نیاز به تراش کمتری از دندان دارد.
* **روکش دندان (Crowns):** در مواردی که آسیب دیدگی دندانها زیاد است، روکشها میتوانند دندان را به طور کامل بپوشانند و از آن محافظت کنند.
* **ارتودنسی:** برای اصلاح نامرتبی دندانها و فک، ارتودنسی یک گزینه مناسب است. ارتودنسی میتواند شامل براکتهای فلزی، سرامیکی یا الاینرهای شفاف باشد.
* **جراحی لثه (Gingivectomy):** برای اصلاح خط لثه و نمایان کردن بیشتر دندانها، جراحی لثه انجام میشود.
* **بلیچینگ دندان (Teeth Whitening):** برای سفید کردن دندانها و از بین بردن لکهها و تغییر رنگها از بلیچینگ استفاده میشود.
* **ایمپلنت دندان (Dental Implants):** برای جایگزینی دندانهای از دست رفته، ایمپلنت یک راه حل دائمی و موثر است.
* **اصلاح خط لب (Lip Augmentation):** برای بهبود ظاهر لبها و تناسب آنها با دندانها، از روشهایی مانند تزریق ژل استفاده میشود.
مراحل انجام اصلاح طرح لبخند نیز در مقاله توضیح داده شده است. این مراحل شامل مشاوره اولیه با دندانپزشک، بررسی وضعیت دندانها و لثهها، گرفتن عکس و قالب از دندانها، طراحی لبخند دیجیتالی (Digital Smile Design)، و انتخاب روشهای مناسب برای اصلاح طرح لبخند است.
اهمیت انتخاب یک دندانپزشک مجرب و متخصص در زمینه اصلاح طرح لبخند مورد تاکید قرار گرفته است. به بیماران توصیه میشود قبل از انجام هر گونه اقدامی، با دندانپزشک خود مشورت کرده و انتظارات خود را به طور واضح بیان کنند.
در انتهای مقاله، به اهمیت مراقبت از دندانها و رعایت بهداشت دهان و دندان پس از انجام اصلاح طرح لبخند اشاره شده است. رعایت بهداشت دهان و دندان، مسواک زدن و نخ دندان کشیدن منظم، و مراجعه منظم به دندانپزشک، میتواند به حفظ زیبایی و سلامت لبخند کمک کند. همچنین اشاره شده است که اصلاح طرح لبخند یک سرمایهگذاری بلندمدت در زیبایی و اعتماد به نفس فرد است.
خلاصه آدرس آدرس مطلب
**اهمیت زیبایی لبخند:**
مقاله با تأکید بر اهمیت زیبایی لبخند در افزایش اعتماد به نفس و بهبود روابط اجتماعی آغاز میشود. لبخند زیبا میتواند تأثیر مثبتی بر احساسات، نگرشها و حتی موفقیتهای فردی داشته باشد. دندانهای نامرتب، تغییر رنگ یافته، شکسته یا دارای فاصله میتوانند بر جذابیت فردی اثر منفی بگذارند.
**عوامل مؤثر در زیبایی لبخند:**
دکتر خسروانی به عوامل متعددی اشاره میکند که در زیبایی لبخند نقش دارند. این عوامل شامل موارد زیر هستند:
* **تراز دندانها:** صاف و هم تراز بودن دندانها نقش مهمی در جذابیت لبخند دارد.
* **رنگ دندانها:** رنگ دندانها باید سفید و درخشان باشد تا لبخند زیباتر به نظر برسد.
* **شکل و اندازه دندانها:** شکل و اندازه متناسب دندانها با یکدیگر و با ساختار صورت، به زیبایی لبخند کمک میکند.
* **سلامت لثهها:** لثههای سالم و صورتی، حاشیه زیبایی را برای دندانها ایجاد میکنند.
* **رابطه لبها و دندانها:** نحوه قرارگیری لبها بر روی دندانها هنگام خندیدن، در زیبایی لبخند مؤثر است.
* **خط لبخند:** انحنای خط لبخند که خط لبههای دندانهای بالا را تشکیل میدهد، باید با انحنای لب پایین هماهنگ باشد.
**روشهای اصلاح طرح لبخند:**
این مقاله به معرفی و توضیح روشهای مختلف اصلاح طرح لبخند میپردازد، از جمله:
* **بلیچینگ دندان:** روشی برای سفید کردن دندانها و از بین بردن لکهها و تغییر رنگهای سطحی.
* **کامپوزیت ونیر:** استفاده از مواد رزین کامپوزیت برای پوشاندن نقصهای جزئی دندانها مانند شکستگی، ترک خوردگی یا تغییر رنگ.
* **لمینت دندان:** پوستههای نازکی از جنس سرامیک یا پرسلن که بر روی سطح دندانها چسبانده میشوند تا شکل، رنگ و اندازه دندانها را بهبود بخشند.
* **ارتودنسی:** روشی برای اصلاح تراز دندانها و رفع نامرتبیها با استفاده از براکتها یا الاینرها.
* **جراحی لثه:** برای اصلاح شکل و اندازه لثهها و بهبود ظاهر آنها.
* **ایمپلنت دندان:** جایگزینی دندانهای از دست رفته با پایههای تیتانیومی که در استخوان فک کاشته میشوند.
* **روکش دندان:** پوششی کامل برای دندان آسیب دیده یا ضعیف که شکل، اندازه و استحکام آن را باز میگرداند.
**ملاحظات قبل از انجام اصلاح طرح لبخند:**
دکتر خسروانی بر اهمیت مشاوره با دندانپزشک متخصص قبل از انجام هر گونه درمان زیبایی تأکید میکند. در این مشاوره، دندانپزشک به بررسی وضعیت دندانها، لثهها و ساختار صورت بیمار میپردازد و بهترین روشهای درمانی را بر اساس شرایط فردی پیشنهاد میدهد. عواملی مانند سلامت عمومی، انتظارات بیمار، و هزینه درمان نیز در انتخاب روش مناسب اصلاح طرح لبخند مؤثر هستند.
**نتیجهگیری:**
مقاله “اصلاح طرح لبخند” به عنوان یک راهنمای جامع، اطلاعات مفیدی در مورد روشهای مختلف بهبود و زیباسازی لبخند در اختیار خوانندگان قرار میدهد. با توجه به تأثیر مثبت لبخند زیبا بر اعتماد به نفس و روابط اجتماعی، اصلاح طرح لبخند میتواند یک سرمایهگذاری ارزشمند برای بهبود کیفیت زندگی باشد. انتخاب روش مناسب درمانی و همکاری با دندانپزشک متخصص، کلید دستیابی به نتایج موفقیتآمیز و ماندگار است.










































































